도수치료 A to Z : 비용, 실비보험 청구 및 보장 횟수
몇주 전부터 어깨 주위에 통증이 있어 운동을 심하게 해서 담에 걸렸나보다라고 생각으로 파스바르고 지냈는데 그 증상이 호전을 보이지 않아 지난주에 집에 상가에 있는 정형외과를 방문했습니다.
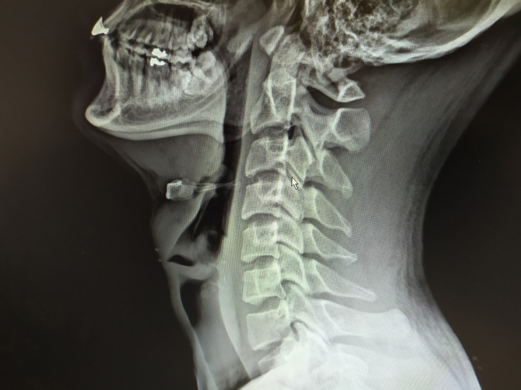
기본검사, 엑스레이를 찍고 선생님 상담을 받으니 예상 했지만 두리뭉실하게 이야기 하네요. 운동부족, 1자목, 팔이 저리다고 하니 엑스레이상 보이진 않지만 MRI를 찍으면 디스크증상이 있을 수 있다? 라는 말을 해주는데 예상했던 진단이라 네~! 하고 말았다.
그래서 어쩌면 되나요? 라고 단도 직입적으로 물으니 교과서적으로 이야기 해 주시네요.
수술, 약물치료, 도수치료 방법이 있다. 지금 내 상황에서는 수술까지는 아닌것 같으니 선택을 해라~
이런~ 욕이 목까지 나올려고 하다가 그냥 참았네요. 암튼... 전 요즘 도수치료가 실비보험 된다고 하니 도수치료 받기로 했습니다.
일자목이라고 해서 내가 비교를 해 달라고 하니 아래와 같이 비교를 해주더군요.
좌측이 현재 일자목이라고 판단받은 제 사진이고 우측이 2개월 정도 도수치료 받아 C자형이 되어 가고 있는 분 사진이라고 하네요.
저도 치료 받아 일자목을 C자형태로 만들어 준다고 합니다. ^^ 그러면서 어깨 통증은 염증이 있는데 도수치료로 함께 치료 가능하다고 합니다.


보험 청구는 총 3회에 걸쳐 청구 했고 보상도 받았습니다. 앞으로 좀더 치료를 지속적으로 받아야 한다고 하고 보험청구도 앞으로 지속적으로 해야 해서 도수치료에 대해 정리를 해 보는 시간을 가졌습니다.


도수치료란?
도수치료의 "도수" 는 "맨손" 이라는 뜻으로 약물이나 수술, 기계를 사용하지 않고 도수치료사의 손으로 직접 행해진다는 점에서 물리치료와 구분하며 해부학을 전공한 전문치료사가 근본적으로 치료를 목적으로 하기 때문에 일반 마사지와도 구분을 합니다.
즉, 치료사가 손의 기술을 이용하여 환자의 신체를 치료하는 것으로 도수치료를 영어로 Manual Therapy 라고 합니다.
도수치료는 누가 할 수 있나?
그럼 이런 손의 기술을 할 수 있는 사람은 누구 일까요?
의사와 물리치료사만 가능 합니다. 즉, 의사가 직접 도수치료를 하거나 의사의 처방하에 물리치료사만이 병원에서 도수치료를 시행 할 수 있는 것입니다. 그 이외 사람이나 직종이 도수치료를 하게 되면 불법이므로 요즘 마사지 받는 곳에서 도치치료를 한다는 것은 불법이며 전문성이 떨어지니 피해주세요.
도수치료의 종류
치료사의 재량으로 손맛이 달라진다고 보면 된다. 하지만 이렇게 사람마다 다른 도수치료지만 그 목적은 크게 2가지로 분류 할 수 있습니다.
뼈, 관절 치료
뼈와 관절을 치료 하는 것으로 무릎관절, 척추, 어깨관절 등 뼈를 손으로 밀고 당기고 비틀고 해서 치료를 합니다. 저는 1자목이라고 요즘 목을 비틀고 뚜두득!!! 소리까지 나게 급하게 틀어서 뼈와 뼈 사이를 넓혀 주고 부드럽게 하고 있다고 합니다.
전 어깨 뒷부분이 아파서 왔는데 그 부분도 1자목 교정과 함께 하고 있는데 어깨 뒷부분의 염증을 없애는 작업을 하고 있습니다. 이렇게 신체의 염증과 통증을 뼈 교정, 치료를 통해서 가능 하다고 하네요. 또 한 뼈의 위치를 잡아 주기 때문에 체형을 잡아 주는 역할도 합니다.
연부조직 치료
마사지 받는 것과 동일 합니다. 근육, 신경부위, 인대, 힘줄 등을 손으로 마사지 하며 치료 합니다.
저 같은 경우는 일자목 교정을 위해서는 뼈 치료가 주로 이루어 지지만 목주위 마사지 치료도 함께 이루어 지고 있습니다. 어깨 부위의 통증은 뼈치료 보다는 연부조직 치료 위주로 통증을 잡기위해서 치료되고 받고 나면 시원한 느낌이라 제가 선호 합니다. 아니 많은 분들이 마사지라고 생각 하는 이유가 여기 있는 것 같아요. ^^
도수치료가 필요한 곳?
1) 관절질환: 회전근개파열, 어깨 오십견, 외측상과염, 무릎통증, 고관절통증, 관절수술 후 재활 등
2) 척추질환: 목디스크, 허리디스크, 협착증, 좌골신경통 및 수술재활
3) 체형교정: 일자목, 휜다리, 골반불균형, 일자허리, 측만증 등
도수치료 장점 및 단점
손으로 치료를 하는 도수치료는 장점과 단점의 양면성이 있습니다. 실비보험 된다고 무조건 도수치료를 고집할 것이 아니라 치료성격이나 본인몸 상태를 정확하게 파악해 도수치료가 아닌 수술이 필요한 상황이면 수술을 해야 합니다.
도수치료 장점
1) 비수술 치료: 대표적인 비수술 치료 방법으로 도수치료를 말합니다. 손으로 치료를 하니 수술하지 않고 환자와 치료사의 노력하에 자연회복 할 수 있는 대표적인 치료 방법입니다. 하지만 수술이 필요한 상황인데 도수치료를 고집할 필요는 절대 없습니다.
2) 적은 부작용: 도수치료의 정의에서도 언급했듯이 주사, 약물을 사용하지 않기 때문에 안전하고 부작용이 적습니다. 하지만 사람의 손에 전적으로 의존해야 하기 때문에 치료사의 판단이 잘못 되었을 경우에는 반대효과가 나타나는 부작용이 발생할 수 있습니다. 그만큼 도수치료에서 어떤 치료사를 맞나는냐에 따라 크게 달라지기 때문에 전문병원의 전문 도수치료사를 찾아가야 합니다.
도수치료 단점
치료사 의존도 높다: 사람의 손으로 치료 하는 것이라 치료사의 실력 및 역량에 따라 치료효과가 극과 극을 달립니다. 그래서 도수치료는 소문으로 찾아갑니다.
결과의 불확실성: 사람의 손으로 사람을 치료 하는 것으로 치료사 뿐만 아니라 환자 본인의 노력도 필요로 하는 치료 입니다. 저도 병원에서 알려준 스트레칭 방법이 2~3가지 있습니다. 자기전에 일자목을 펴주기 위해 침대 끝에 누워서 목을 스트레칭 해주는 것, 평상시에 벽을 이용한 스트레칭 방법 등 있는데 이것을 제가 얼마나 치료중 함께 참여 하냐에 따라 결과가 빨리 나올 수도 있고 치료 기간이 길어 질 수도 있습니다.
도수치료 가격
처음 도수치료를 받은 곳은 8만원 정도 했고 효과를 못봐서 집에서 조금 떨어진 곳을 추천받아서 갔는데 도수치료비가 15만원 이였습니다. 제 실손보험은 1번 10만원이라 말씀드렸더니 10만원으로 조정 주네요. 도수치료 시간을 조금 조절 하는 방식이라고 하네요.
하지만 제가 느낀 건, 비금여 부분은 병원 재량으로 가격을 책정 할 수 있는 부분이고 도수치료 가격은 표준화 하기가 애매하죠? 그래서 가격 차이는 병원마다 너무 나네요.
그렇다고 저처럼 실손보험이 10만원 밖에 안되는데 15만원 정상 청구한다면 전 다신 이 병원에 안올 수 있죠.... 정말 고민 해 봤을거에요. 그래서 병원측에서는 10만원에 맞춤형(?) 치료를 해주는 명목으로 10만원으로 제게 제안을 해도 손해볼 건 없다는 것이라 생각 합니다. 영업을 잘 하는거죠.... 도수치료 1번만 하는 사람 거의 없고 최소 5회 이상은 받을 거고 좀 장기는 10회이상 일 수 있는데 금액을 못맞춰 줄 이유가 없다고 봅니다. ^^


서울시에 위치한 정형외과, 신경외과, 마취통증의학과, 재활의학과, 신경과, 외과 595곳을 조사한 결과 (2020년 06월 기준), 도수치료 가격/비용의 전체평균가격은 114,535원 이었습니다.가장 저렴한 곳은 43,000원 이었으며, 가장 비싼 곳은 194,000원 이었습니다.
출처: url.kr/d7Hh14
도수치료가 가격이 비싼 곳은 아주 비싼데요. 하지만 우리가 알아야 할 것은 이번 코로나 사태로 많은 분들이 인지하고 있겠지만 우리나라 의료비가 비싼게 절대 아닙니다. 미국이나 유럽쪽은 도수치료비가 우리나라의 5배~10배까지 합니다. 그들이 생각 하는 사람의 손기술은 전문가라고 생각 하는 것이지요. 기계가 하는 것은 똑 같지만 사람의 손기술은 인정 해 해주고 치료기술을 익히기 들인 수많은 시간과 비용 인정 해 주는것 같아요.
도수치료 실비보험 되나요?
1) 2009년 8월 이전
2) 2009년 8월 ~ 2015년 8월 사이
3) 2015년 9월 ~ 2017년 3월 사이
4) 2017년 4월 이후
4번) 2017년 4월 이후 개정된 사항은
아래 3개 항목이 특약으로 따로 분리되어 특약을 들어야만 혜택을 받을 수 있습니다.
- 비급여 도수/체외충격파/증식치료
- 비급여 주사료
- 비급여 자기공명영상진단(MRI/MRA)
특약으로 빠져서 본인공제금(부담금)에 변화가 생겼습니다. 예를 들면 내원하여 다른 검사도 하고 도수치료도 받았다면
-> 도수치료 비용은 도수치료 특약에서 보상(본인 부담금 공제)
-> 다른 검사 비용은 통원 실비 특약에서 보상(1일 한도내, 본인 부담금 공제)
즉, 본인 부담금을 2번 공제 하게 됩니다. ㅠㅠ
실비보험 급여 비급여 뜻?
보험용어 중에서 급여 비급여 이런 단어를 많이 보게 됩니다. 실비보험에서 급여와 비급여가 의미하는 것이 뭔지 간단하게 알아보겠습니다.
급여: 국민연금보험 처리가 가능한 항목으로 진료비 세부내역에 보면 급여 부분과 비급여 부분으로 나눠져 나오기 때문에 쉽게 파악이 됩니다.
비급여: 급여의 반대로 국민연금보험처리가 안되는 항목으로 공단지원이 안되는 항목입니다. 치료목적으로 안보는 항목들이 여기에 해당 됩니다.
도수치료 실비보험 청구 가능횟수는?
그럼 궁금한게 실비 가입년도에 따라 도수치료를 몇번까지 가능할까? 좀 알아봤습니다.
1) 2009년 8월 이전 가입자
저 같이 예전에 가입한 분들은 도수치료에 대한 내용이 약관에 없습니다. 제가 약관을 잠시 뒤져 봤습니다.
2009년8월 이전 실손보험 가입자의 경우, 통원일수 30회를 기준을 한도로 해당 보험의 통원 가입금액만큼 보장 된다라고 생각 하면 됩니다.
저는 급여항목(국민건강보험)은 1년(365일)동안 동일한 질병(도수치료)으로 30번 한도로 5천원 공제 후 모두 나오고 비급여 항목(국민건강보험 적용안되는부분)은 5천원 공제 후 40%만 지급한다라고 되어 있네요.

그럼? 도수치료??? 40% 밖에 못 받는 건가? ㅠㅠ
아닙니다. 여기서 중요한 것을 알려 드립니다. 보험사에서 이 항목을 가지고 40% 밖에 못주겠다고 하면 제가 말하는 내용으로 반박 하세요.
아래 내용은 2013년 11월 8일 금융감독원(금감원)에서 "실손의료보험 표준약관 및 표준사업방법서 개정" 제목으로 발행한 보도 자료 입니다.
원본참고: url.kr/LDcSAT
실손의료보험 표준약관 및 표준사업방법서 개정 상세보기
www.fss.or.kr


건강보험법 및 의료급여법을 적용받지 못하는 경우 부담한 의료비 중 40%를 지급 한다고 되어 있는 위 조항은 건강보험 미가입자나 건강보험료 체납으로 일시자격 정지자 등에 대한 조항임에도 일부 보험사에서 피보험자가 국민건강보험에 가입되어 있으나 비급여만 발생하여 병원이 건강보험공단에 청구하지 않은 경우까지도 확대 적용을 해서 민원이 지속적으로 발생 해 위와 같이 보도자료를 내며 명확하게 정의를 내려 주고 있습니다.
40% 보상은 다시한번 말하지만!!
- 건강보험 미가입자
- 건강보험료 체납자
위 2가지 경우에만 해당 되는 사항 입니다.
2) 2009년8월 ~ 2017년3월 가입한 실비보험
일반적으로 1년180회, 보험 가입금액에 따라 1회당 20~25만원의 한도로 외래통원 공제금액을 제하고 도수치료 실손보험 청구가 가능 합니다.
3) 2017년4월 이후 보험 가입자
도수치료와 관련한 보장 특약에 가입한 경우에만 도수치료의 보험 청구가 가능하다. 1년에 최대 50회, 350만원 한도 내에서 도수치료 실손보험 청구가 가능 합니다.

실비보험 면책기간?
면책기간이란?
나 같은 경우 2005년도에 실비보험을 가입 했기 때문에 약관에 적혀 있는 "발병일로부터 365일 이내 통산통원일수 30일 한도 보상" 조건을 따라간다. 이 문장의 뜻은 하나의 질병으로 1년간 30회의 한도가 보장됩니다. 즉, 도수치료로 1년 동안 30번 보장을 받을 수 있다는 뜻이다.
만약 1월 1일 도수치료를 받았다면 12월 31일(365일)까지 30번의 도수치료 기회가 있고 30번의 보험료 청구를 할 수 있다는 것이다. 만약 30회 이상의 치료를 받아야 하는 상황이 생기면 보험금 청구를 해도 보상을 못받는다.
만약 30번의 기회를 모두 사용 못했더라도 마지막 병원 방문일로 부터 180일이 경과 하면 다시 365일과 30번의 기회가 생긴다.
이것을 우리는 실비보험의 면책기간이라고 한다.
동일한 질병으로 365일, 30회 기회를 모두 사용 했다면 마지막 보험금 보상 받은 날로부터 180일 동안은 동일한 질병으로는 보험금 청구를 할 수 없다는 것이다.
하지만 다른 동일 및 비슷한 질병군이 아니라면 면책기간은 다시 적용되는 것이다. 즉 이러한 조건들은 각각의 질병마다 적용이 되는 것입니다.
이상으로 거의 3시간동안 도수치료에 대한 정리를 해 봤습니다. 보험청구에 관한 이야기를 하자면 좀더 있긴 한데...오늘은 여기서 마무리 하려 합니다. 도움이 되셨으면 하트 하나 눌러 주세요. ^^



[도수치료 후기]
제 개인적인 블로그 이기 때문에 100% 제 개인적인 의견 입니다. 딴지나 오해 사절 합니다.
먼저 가깝다는 이유로 집 앞 정형외과에서 등쪽 통증치료 때문에 방문하고 도수치료를 받았습니다. 비용은 8만원이였으며 인생 처음으로 도수치료라는 것을 받아봐서 마사지하고 비슷한것 같지만 전문적인 느낌이 들었습니다. 그후 1주일에 3회를 받았지만 호전 보다는 더 통증은 심해지고 팔까지 더 저린 느낌이 들어 다음 예약을 취소 하고 집에서 조금 떨어진 다른 정형외과를 다녀왔습니다.
동네 카페에서 검색을 해보니 오늘 간곳 말고 조금 더 먼곳인데 어깨 통증치료에 유명한 선생님이 있다는데...그 선생님은 온라인으로 예약만 받는데 6월 예약은 이미 모두 마감이라 포기 했고 도수치료 특성상 잘 한다는 선생님을 따라가는 거라 동네 지인을 찬스를 노렸습니다.
와이프에게 좀 알아보라고 했더니 마침 가까운 엄마 중에 한명이 얼마전까지 다녔고 효과 본 곳으로 오늘 다녀왔습니다. 가격은 위에 언급했듯이 거의 1번째 갔던곳의 2배 가격이였습니다. 그런데 인생처음 도수치료를 받아본 저에겐 신세계였습니다. 우물안 개구리였다는 생각이 들더군요. 오늘 간 곳은 도수치료 전문 기관 같았아요. 도수치료 받는 곳은 한층 아래 있었고 헬스장처럼 큰 곳에 다양한 기구들을 갖춘 전문적인 느낌이 들었습니다. 1번째 다녔던 곳은 침대 몇개와 기구 같은게 몇개 있었던게 다였는데 완전 다른 느낌이였어요.
도수치료 해줄 선생님 비교 전에 분위기가 이렇게 다르더라구요.
그리고 도수치료를 하셨던 1번째와 2번째 분의 비교는 솔직히 못하겠어요. 두분다 열심히 최선을 다해주셨지만 저의 증상을 두고 다른 접근 방법이였습니다. 오늘 2번째 이분은 어깨 통증이 척추부분이 휘어 있는게 문제인것 같다고 이걸 함께 잡아 보자!! 이렇게 이야기 하시네요.
누구 말이 맞을 지 모르겠지만 신뢰도는 시설적인 분위기 때문인지? 추천받고 가서 그런지 2번째 분에게 신뢰가 갔습니다. 오늘 첫 치료 후 1주일에 3회 정도 당분간 꾸준히 받을 예정입니다. 이미 다음주 예약 잡았습니다.
혼자 결론을 내려보면....
- 먼저 나이들면 몸관리 잘 하자
- 평상시 스트레칭 등 근육을 풀어주는 가벼운 운동이라도 좀 하자
- 도수치료는 한번 받기 시작하면 여러 회 받아야 하기 때문에 잘 알아보고 꾸준히 받자
- 즉, 검증된 곳으로 추천 받아서 방문하자.
- 실손보험 처리 잘 하자.
몸이 아프니 너무 불편 합니다. 빨리 어깨가 정상으로 돌와 왔으며 좋겠습니다.
모두 스트레칭 같은 간단한 생활건강 습관을 가져야 겠습니다. 건강하세요 ^^
'생활정보 > 건강_보험' 카테고리의 다른 글
| 채식주의자 식단과 건강: 채식이 가져다주는 혜택 5가지 (1) | 2024.02.12 |
|---|---|
| ABC 주스 효능, 레시피 및 주의사항 정리합니다. (0) | 2020.06.28 |
| 나도 고혈압인가? 고혈압 수치와 낮추는 방법에 대해 알아보아요. (0) | 2020.06.14 |
| 오메가3: 크릴오일 vs 생선오일 비교하면 어떤게 좋은가? (0) | 2020.06.07 |
| 뱃살빼기 프로젝트: 줄넘기 길이조절, 줄넘기 1000개 하기 (0) | 2020.04.28 |
댓글